O tumoră cerebrală gigant a fost extirpată astăzi, 5 iunie, de la un pacient non-COVID, în vârstă de 60 de ani, în cadrul unei intervenții chirurgicale complexe realizată de medicii Secției Clinice Neurochirurgie din cadrul Spitalului Județean Sibiu. Pacientul este din județul Brașov, iar viața sa era pusă în pericol din cauza tumorii, transmit reprezentanții spitalului.
Intervenția chirurgicală a fost efectuată de o echipă condusă de Șef Lucrări Dr. Vicențiu Săceleanu, medicul șef al Secției Clinice Neurochirurgie a SCJU Sibiu, din care au mai făcut parte Dr. Vladimir Roșca, medic specialist neurochirurgie și Dr. Cosmin Cândea, medic rezident neurochirurgie.
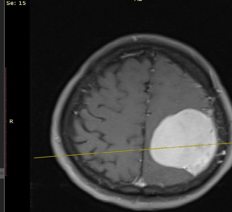
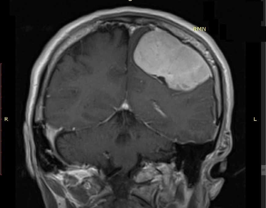
„Pacientul a fost internat ieri prin Unitatea de Primiri Urgențe, fiind diagnosticat cu o tumoră cerebrală gigantă care îi punea viața în pericol, prin comprimarea creierului. I s-au efectuat analize medicale, inclusiv testul pentru COVID-19. După studierea atentă a cazului am decis intervenția chirurgicală și am practicat rezecția completă a tumorii care a avut o mărime de 6/5 cm”, explică Șef Lucrări Dr. Vicențiu Săceleanu.
Intervenția chirurgicală a fost efectuată cu microscopul operator performant din dotarea secției și a durat aproximativ 4 ore. Operația a fost un succes și urmează ca pacientul să fie suspus unor controale post operatorii amănunțite.
„Ne exprimăm satisfacția că această operație a fost o reușită. Nu este pentru prima dată când extirpăm tumori de mari dimensiuni în secția de neurochirurgie, fapt care indică profesionalismul colectivului secției. Dar în primul rând ne bucurăm că putem din nou să servim interesele pacienților, în acest context complicat creat de noul tip de coronavirus”, adaugă Dr. Vicențiu Săceleanu.
În momentul de față pacientul este sub supraveghere post-operatorie de specialitate, este stabil si va intra într-un program de recuperare.
„Așa cum am promis, reintroducem treptat în circuit secțiile spitalului și facem totul pentru ca pacienții să poată beneficia de servicii medicale complete și complexe”, a precizat Conf. univ. dr. Liliana Coldea, managerul SCJU Sibiu.


Abonează-te la canalul de WhatsApp al Turnul Sfatului pentru a afla în timp real știrile relevante de la Sibiu: accesează linkul de aici și apasă opțiunea Follow (Urmăriți).
Dacă ți-a plăcut, distribuie articolul și prietenilor tăi
Vizualizari: 2665


Ultimele comentarii
Acum 13 ore
Ion Iliescu
Acum 14 ore
Iancu
Acum 14 ore
Luca
Acum 15 ore
Bangladeju
Acum 15 ore
Aci Duțu